Trending:

Cancer, the word itself sends a chill down the spine. Claiming the lives of 9.6 million people annually, according to the World Health Organisation (WHO) one in every six deaths is caused by cancer. Women specifically are more prone to breast cancer. Almost half of diagnosed women are not at risk beyond being female and over 40, while others face risks such as obesity, alcohol consumption, genetics and reproductive history.
According to the World Cancer Research Fund International (WCRFI), breast cancer is the most prevalent cause of cancer-related death among women. The WHO estimates that 2.3 million cases were diagnosed in 2022, leading to approximately 6, 70,000 deaths. The Global Breast Cancer Initiative launched by the WHO in March, 2021, aims to reduce global mortality by 2.5 per cent annually, targeting a reduction of 25 per cent in global breast cancer death rates by 2030 and 40 per cent by 2040. However, for acing these goals a comprehensive, multi-faceted approach is required, which includes early detection, timely diagnosis and effective disease management. Increased awareness, improved access to healthcare, and advancements in screening and treatment are crucial too.
The Indian scenario breast cancer burden
Breast cancer accounts for 23.76 per cent of all cancer diagnoses globally. India is witnessing a worrying surge too, ranking third after China and the United States in absolute numbers. According to the Global Cancer Observatory, India had the highest number of breast cancer-related deaths, a staggering 98,337 fatalities, in 2022.
Uttar Pradesh, Maharashtra and West Bengal were the top three states as far as mortality rates go. The major metropolitan cities in India bear the brunt of the disease, with Mumbai (8,237 cases), Delhi (8,080), Chennai (5,461), Bengaluru (4,416), and Thiruvananthapuram (4,083) collectively contributing to over half (52.42 per cent) of the nation’s reported cases. A study by the International Agency for Research on Cancer (IARC) projects a 170 per cent increase in the number of new breast cancer cases and a 200 per cent rise in breast cancer-related deaths in India by 2050, underscoring the urgent need for early screening and diagnosis.
Healthcare needs a fillip
Urgent action is needed to improve healthcare infrastructure. The Indian government, through the Ministry of Health and Family Welfare (MoHFW), plans to set up 200 daycare cancer centres in district hospitals by 2025-26. However, accessibility remains a concern, especially for rural and less-privileged women.
Strengthening Primary Health Centres (PHCs) and Sub-Centres (SCs) for early detection, along with government-led awareness campaigns and screening programmes, could significantly improve the scenario. Deploying radiologists to selected PHCs for fixed hours each week could enhance accessibility, ensure timely diagnoses and help curb the rising death toll.
AI can help in diagnosis
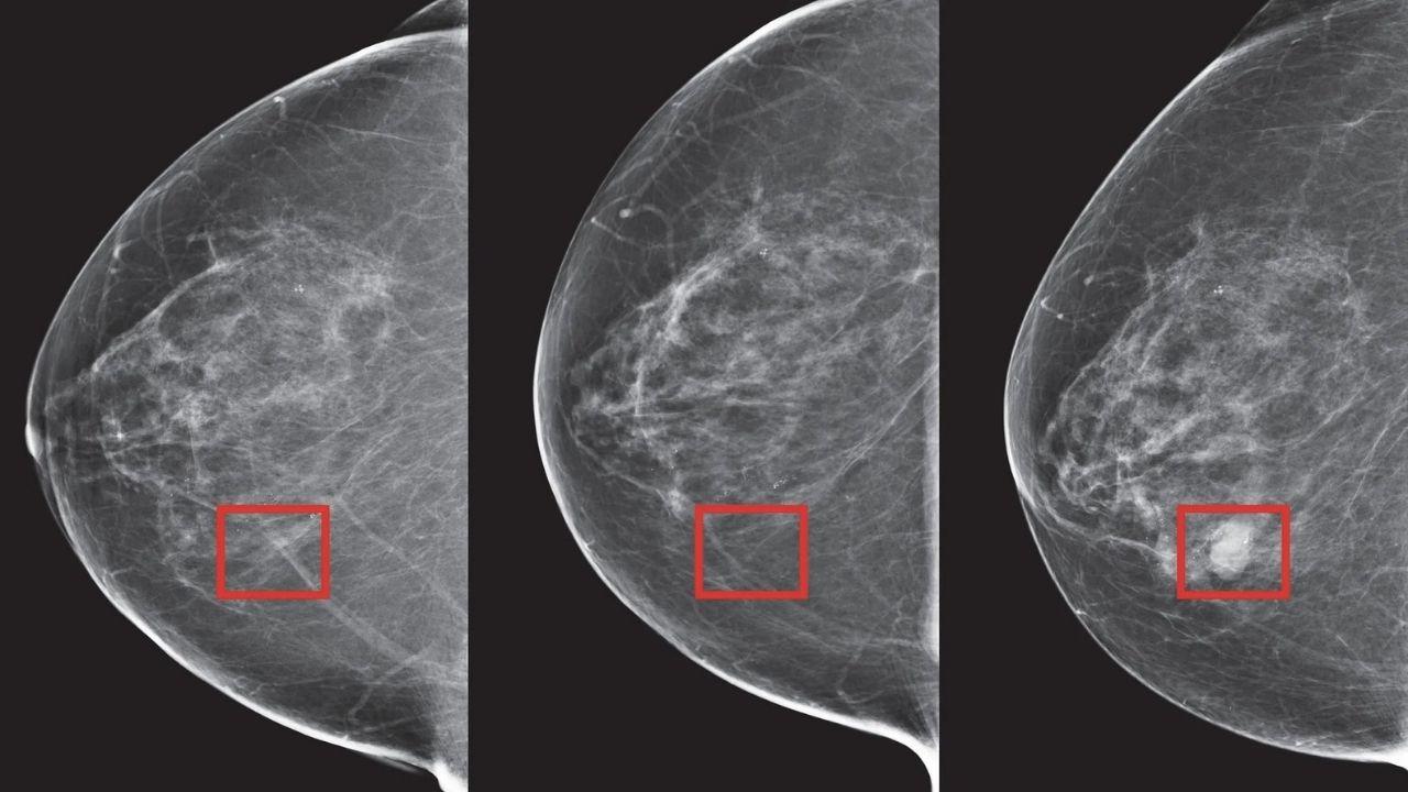
Despite medical advancements, India struggles with high breast cancer mortality due to late detection and low awareness. Early screening is crucial, and AI is transforming diagnostics by improving accuracy as well as efficiency. AI-powered screening tools such as AI-integrated mammography machines can aid radiologists in recognising patterns and spotting malignancies that might be missed by human observation, facilitating well-informed decisions and faster interventions. For this, the AI models have to be trained with huge datasets generated through mammography images. The need for faster, better diagnoses in India is urgent; the number of radiologists is low, which means AI tools could potentially enhance diagnosis speed and enable timely treatment.
AI technologies such as Niramai, iBreastExam and MammoAssist are already being tested to improve early detection, especially in resource-poor areas. Strengthening AI integration in cancer diagnostics will go a long way in curbing this menace. The integration of AI in diagnostics can also make the process more efficient, as also economically viable. AI-assisted tools reduce diagnostic expenses by automating routine tasks, enabling radiologists to focus on complex cases. Moreover, early detection through AI helps lower treatment costs by identifying cancer at a more treatable stage, improving survival rates while easing the burden on healthcare systems.
The road ahead
Despite AI’s immense potential in cancer detection, we face hurdles such as high costs, the need for specialised training and data privacy concerns. Policymakers must address these challenges through regulations and incentives to promote AI integration in healthcare. Government initiatives including the National Programme for Prevention and Control of Cancer, Diabetes, Cardiovascular Diseases and Stroke (NPCDCS) by the National Health Mission could incorporate AI-based screening to enhance early cancer detection at the grassroots level, improving accessibility and patient outcomes.
To accelerate AI adoption in breast cancer diagnostics, investment in AI infrastructure is crucial. Training healthcare professionals, including radiologists and technicians, ensures effective use of these technologies. Equally vital is establishing robust data security frameworks to protect patient information and build public trust. Collaborations between the government and private sector can drive research and innovation, while subsidising AI- assisted screenings can enhance accessibility for lower-income groups.
Holistic approach needed
Mobile AI-driven screening units can extend early detection services to remote areas, making it more accessible to underserved populations. Telemedicine consultations and digital health records can bridge the gap between rural patients and specialists in urban centres. Expanding AI-based diagnostics beyond district hospitals to Primary Health Centres (PHCs) could ensure timely intervention and reduce mortality rates.
A holistic approach—strengthening grassroots healthcare, raising awareness, and integrating AI screening—can be transformative. Collaboration between the government, private sector, and healthcare institutions is essential. With the right policies and technology, India can significantly reduce its breast cancer burden and save countless lives.
Narinder Kumar, Varadurga Bhat, Ranjini C.R.
RV University


